Presentati in anteprima mondiale i risultati dello studio PLATFORM
Al Congresso della Società Europea di Cardiologia di Londra
7
Settembre
Set
2015
0000
10 years ago
Presentati in anteprima mondiale al congresso annuale della Società Europea di Cardiologia (ESC), che si tiene a Londra dal 29 agosto al 2 settembre, i risultati dello studio PLATFORM, multicentrico europeo che ha valutato la nuova tecnologia “FFR-CT” come test diagnostico non invasivo per evitare coronarografie non necessarie.
La FFR (fractional flow reserve o riserva frazionale di flusso) consente di valutare la gravità funzionale di una stenosi coronarica. Le relative misurazioni sono abitualmente effettuate durante una coronarografia invasiva. Nello studio PLATFORM, invece, i pazienti con dolore toracico e per i quali erano stati richiesti approfondimenti diagnostici tra cui la coronarografia, sono stati sottoposti a una TC cardiaca con successiva analisi della FFR-CT, per identificare quali pazienti potessero evitare di eseguire l’esame invasivo.
Lo studio ha evidenziato che, grazie a questa nuova opportunità diagnostica, addirittura nel 61% dei pazienti è stato possibile evitare la coronarografia, senza alcune impatto negativo a breve sulla prognosi dei pazienti.
“I risultati di questo studio, in pubblicazione sul European Heart Journal, una delle più prestigiose riviste internazionali cardiologiche, – spiega il Dr Gianluca Pontone, direttore dell’U.O. di RM cardiovascolare del Centro Cardiologico Monzino, membro dello steering committe e principal investigator dello studio, – rappresentano un importante passo in avanti nell’aggiornamento delle Linee Guida della gestione dei pazienti con sospetta malattia coronarica (che già tendono a raccomandare l’esecuzione di indagini invasive solo se strettamente necessarie), migliorando pertanto il rapporto costo-efficacia degli algoritmi diagnostici oggi in uso”.
Numerosi studi avevano già confermato che la misurazione della FFR può ottimizzare il processo di decisione clinica basato sulla valutazione angiografica. Ora, i risultati del PLATFORM, dimostrando la fattibilità di una valutazione contemporaneamente anatomica e funzionale non invasiva del paziente con dolore toracico, possono avere importanti implicazioni.
“Siamo orgogliosi di poter affermare che il Monzino, – conclude Gianluca Pontone, ¬– è stato il primo Centro in Italia e tra i primi al mondo a introdurre tale tecnologia nella pratica clinica. Ora, questi risultati costituiscono una solida base di partenza per altri due trial, anch’essi organizzati al Monzino, il PERFCTION Study e il CREDENCE Study, per i quali è iniziata in questi giorni lo screening dei pazienti”.
La FFR (fractional flow reserve o riserva frazionale di flusso) consente di valutare la gravità funzionale di una stenosi coronarica. Le relative misurazioni sono abitualmente effettuate durante una coronarografia invasiva. Nello studio PLATFORM, invece, i pazienti con dolore toracico e per i quali erano stati richiesti approfondimenti diagnostici tra cui la coronarografia, sono stati sottoposti a una TC cardiaca con successiva analisi della FFR-CT, per identificare quali pazienti potessero evitare di eseguire l’esame invasivo.
Lo studio ha evidenziato che, grazie a questa nuova opportunità diagnostica, addirittura nel 61% dei pazienti è stato possibile evitare la coronarografia, senza alcune impatto negativo a breve sulla prognosi dei pazienti.
“I risultati di questo studio, in pubblicazione sul European Heart Journal, una delle più prestigiose riviste internazionali cardiologiche, – spiega il Dr Gianluca Pontone, direttore dell’U.O. di RM cardiovascolare del Centro Cardiologico Monzino, membro dello steering committe e principal investigator dello studio, – rappresentano un importante passo in avanti nell’aggiornamento delle Linee Guida della gestione dei pazienti con sospetta malattia coronarica (che già tendono a raccomandare l’esecuzione di indagini invasive solo se strettamente necessarie), migliorando pertanto il rapporto costo-efficacia degli algoritmi diagnostici oggi in uso”.
Numerosi studi avevano già confermato che la misurazione della FFR può ottimizzare il processo di decisione clinica basato sulla valutazione angiografica. Ora, i risultati del PLATFORM, dimostrando la fattibilità di una valutazione contemporaneamente anatomica e funzionale non invasiva del paziente con dolore toracico, possono avere importanti implicazioni.
“Siamo orgogliosi di poter affermare che il Monzino, – conclude Gianluca Pontone, ¬– è stato il primo Centro in Italia e tra i primi al mondo a introdurre tale tecnologia nella pratica clinica. Ora, questi risultati costituiscono una solida base di partenza per altri due trial, anch’essi organizzati al Monzino, il PERFCTION Study e il CREDENCE Study, per i quali è iniziata in questi giorni lo screening dei pazienti”.
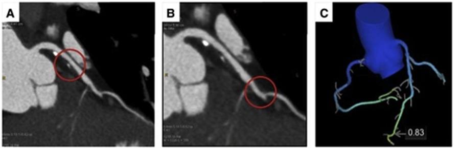
(A) Paziente di 59 anni sintomatico per angina atipica con anamnesi familiare di CAD, ipertensione, fumo, e probabilità pre-test intermedia di CAD con ECG da sforzo positivo. La ricostruzione multiplanare CCTA della coronaria anteriore sinistra discendente mostra un 45% (A, cerchio) e un 55% di stenosi, coinvolgendo l’origine del primo ramo diagonale (B, cerchio) con FFRCT di 0,83 (C).1
Fonti
- Pontone G, Patel MR, Hlatky MA et al. Rationale and design of the Prospective LongitudinAl Trial of FFRCT: Outcome and Resource IMpacts study. Am Heart J 2015;0:1-9.e44. Article in press
- Douglas PS, Pontone G, Hlatky MA et al. Clinical outcomes of fractional flow reserve by computed tomographic angiography-guided diagnostic strategies vs. usual care in patients with suspected coronary artery disease: the prospective longitudinal trial of FFRct: outcome and resource impacts study. Eur Heart J. 2015 Sep 1. pii: ehv444. [Epub ahead of print] Vai all'abstract
- ESC Press Office. Non-Invasive Blood Flow Measurements Reduce Invasive Tests in Chest Pain Patients. 1 settembre 2015. Vai al comunicato stampa ESC
