Studio STRATEGY. Un caso clinico
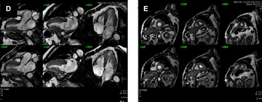
Paziente di 59 anni con precedente IMA e PCI con stent alla intermedia. L’insorgenza di dolore toracico ha indicato l’esecuzione di un’angio-TC come test di prima linea. Questa ha evidenziato una stenosi del 55% del tratto prossimale del ramo discendente anteriore (A), pervietà dello stent (B), e una stenosi del 65% a livello del tratto medio della coronaria destra (C).
Una successiva valutazione con stress-RM (D,E) non ha però mostrato difetti di perfusione né anormalità delle pareti vasali. E durante il follow-up non sono intervenuti eventi cardiovascolari maggiori.

