La TC cardiaca per lo studio dell’anatomia coronarica e della perfusione miocardica post-stress farmacologico
Importanti vantaggi per il paziente e in termini di riduzione dei costi con la CT Perfusion in aggiunta al dato anatomico.
La TC coronarica è uno strumento diagnostico molto accurato per identificare o escludere la presenza di stenosi coronariche, perché consente non soltanto una visualizzazione anatomica non invasiva del lume coronarico, paragonabile a quella che si ottiene con una coronarografia invasiva, ma anche della parete dei vasi, con la possibilità di identificare anche placche ateromasiche molto precoci dotate di rilevanza clinica e prognostica.1
Questo esame è attualmente incluso nelle Linee Guida Europee sulla gestione del paziente con dolore toracico e sospetta cardiopatia ischemica, come test diagnostico di prima scelta da accompagnare alla valutazione clinica, in alternativa ai test di imaging tradizionali di secondo livello (eco stress, scintigrafia miocardica, RM da stress). La TC coronarica è particolarmente indicata nei pazienti con bassa-intermedia probabilità pre-test di coronaropatia.2 La validità clinica di tale indagine anatomica è stata ampiamente dimostrata anche nei pazienti precedentemente sottoposti a rivascolarizzazione coronarica con stent3 o con bypass aorto-coronarico.4
Il limite principale di tale approccio anatomico è costituito dall’assenza di informazioni sul significato funzionale-emodinamico delle stenosi, in particolare sulla presenza di ischemia miocardica.
Da alcuni anni, grazie all’evoluzione tecnologica delle apparecchiature TC, dotate di sempre maggior risoluzione spaziale e temporale, una nuova metodica si sta sempre più affermando in campo clinico, supportata da rilevanti lavori scientifici, la cosiddetta CT Perfusion, ovvero lo studio della perfusione miocardica mediante TC del cuore, ottenuto dopo infusione di Adenosina per via endovenosa per indurre nel paziente condizioni di stress farmacologico idonee a dimostrare la presenza di deficit perfusionali, ovvero ischemia inducibile.
Il grande vantaggio di questa metodica è che essa consente di valutare l’ischemia miocardica con un’accuratezza pari a quella della scintigrafia miocardica,5 in aggiunta al dato anatomico (già di per se stesso fondamentale per la diagnosi e la gestione del malato) e quindi di ottenere con un solo esame non invasivo una doppia informazione sul paziente, una di tipo anatomico con la tradizionale TC coronarica e una di tipo funzionale mediante lo studio di perfusione post-adenosina.
Prestigiosi studi clinici internazionali hanno evidenziato che tale approccio aumenta ulteriormente la performance diagnostica della TC del cuore.6-15 Per il paziente, l’indagine consente di limitare l’iter diagnostico a un unico test, eseguibile in regime ambulatoriale, per escludere la presenza di stenosi coronariche significative con valore predittivo negativo prossimo al 100% (senza quindi rischio di incorrere in falsi negativi), per identificare la presenza di stenosi dal punto di vista anatomico, per valutarne composizione di placca e severità di stenosi, e infine per caratterizzare la presenza di ischemia miocardica inducibile relata alla placca stessa. In altre parole, con questo approccio innovativo è possibile ottenere con solo esame le informazioni che normalmente si ottengono con una TAC più un altro test di secondo livello, come scintigrafia o ecostress. Con importanti vantaggi per il paziente e in termini di riduzione dei costi.
Un caso clinico esemplificativo
Paziente di 58 anni, noto per pregresso impianto di stent su arteria circonflessa-ramo marginale. Sintomatico per toracoalgie da sforzo. Esegue CT Cardiaca con studio di perfusione.
TC CORONARICA (FASE ANATOMICA A RIPOSO)
L’immagine di sinistra mostra una stenosi anatomicamente severa al tratto medio dell’arteria discendente anteriore. L’immagine di destra mostra pervietà degli stent su arteria circonflessa-ramo marginale ma presenza di stenosi critica sul vaso nativo a valle dello stent.
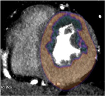
STUDIO DI PERFUSIONE (FASE FUNZIONALE POST-STRESS FARMACOLOGICO)
L’immagine mostra un chiaro deficit di perfusione, transmurale, in corrispondenza della parete anteriore del ventricolo sinistro (asse corto ventricolare sinistro, regionale verde scura) nel contesto del miocardio normoperfuso (regioni arancione). Tale deficit è da scriversi alla stenosi identificata sull’arteria discendente anteriore in fase anatomica.
L’immagine mostra un evidente deficit di perfusione, transmurale, in corrispondenza della parete laterale e postero-laterale del ventricolo sinistro (asse corto ventricolare sinistro, regionale verde scura) nel contesto del miocardio normoperfuso (regioni arancione). Tale deficit è da scriversi alla stenosi identificata sul ramo marginale post-stent in fase anatomica.
CORONAROGRAFIA INVASIVA
L’angiografia coronarica invasiva a cui il paziente è stato sottoposto in base all’esito della TC ha confermato entrambe le stenosi flusso-limitanti identificate al test non invasivo.
Bibliografia
- E. Conte, A. Annoni, G. Pontone, et al. Evaluation of coronary plaque characteristics with coronary computed tomography angiography in patients with non-obstructive coronary artery disease: a long-term follow-up study. Eur Heart J Cardiovasc Imaging. 2016 Sep 27.
- Task Force Members, Montalescot G, Sechtem U, et al 2013 ESC guidelines on the management of stable coronary artery disease: the Task Force on the management of stable coronary artery disease of the European Society of Cardiology. Eur Heart J. 2013;34:2949-3003.
- Andreini D, Pontone G, Mushtaq S et al. Coronary in-stent restenosis: assessment with CT coronary angiography. Radiology 2012;265:410-417.
- Andreini D, Pontone G, Mushtaq S, et al. Diagnostic performance of two types of low radiation exposure protocol for prospective ECG-triggering multidetector computed tomography angiography in assessment of coronary artery bypassgraft. Int J Cardiol. 2012;157:63-9.
- Blankstein R, Shturman LD, Rogers IS, et al. Adenosine-induced stress myocardial perfusion imaging using dual-source cardiac computed tomography. J Am Coll Cardiol. 2009; 15;54:1072-84.
- Rocha-Filho JA, Blankstein R, Shturman LD, et al. Incremental value of adenosine-induced stress myocardial perfusion imaging with dual-source CT at cardiac CT angiography. Radiology. 2010;254:410-9.
- Okada DR, Ghoshhajra BB, Blankstein R, et al. Direct comparison of rest and adenosine stress myocardial perfusion CT with rest and stress SPECT. J Nucl Cardiol. 2010;17:27-37.
- Cury RC, Magalhães TA, Borges AC, et al. Dipyridamole stress and rest myocardial perfusion by 64-detector row computed tomography in patients with suspected coronary artery disease. Am J Cardiol. 2010;1;106:310-5.
- Ho KT, Chua KC, Klotz E, Panknin C. Stress and rest dynamic myocardial perfusion imaging by evaluation of complete time-attenuation curves with dual-source CT. JACC Cardiovasc Imaging. 2010;3:811-20.
- Ko SM, Choi JW, Song MG, et al. Myocardial perfusion imaging using adenosine-induced stress dual-energy computed tomography of the heart: comparison with cardiac magnetic resonance imaging and conventional coronary angiography. Eur Radiol. 2011;21:26-35.
- Tamarappoo BK, Dey D, Nakazato R, et al. Comparison of the extent and severity of myocardial perfusion defects measured by CT coronary angiography and SPECT myocardial perfusion imaging. JACC Cardiovasc Imaging. 2010;3:1010-9.
- Bamberg F, Becker A, Schwarz F, et al. Detection of hemodynamically significant coronary artery stenosis: incremental diagnostic value of dynamic CT-based myocardial perfusion imaging Radiology. 2011;260:689-98.
- Feuchtner G, Goetti R, Plass A, et al. Adenosine stress high-pitch 128-slice dual-source myocardial computed tomography perfusion for imaging of reversible myocardial ischemia: comparison with magnetic resonance imaging. Circ Cardiovasc Imaging. 2011;4:540-9.
- Ko BS, Cameron JD, Meredith IT, et al. Computed tomography stress myocardial perfusion imaging in patients considered for revascularization: a comparison with fractional flow reserve. Eur Heart J. 2012;33:67-77.
- Rochitte CE, George RT, Chen MY, et al. Computed tomography angiography and perfusion to assess coronary artery stenosis causing perfusion defects by single photon emission computed tomography: the CORE320 study. Eur Heart J. 2014;35:1120-30.
→ Torna alla News Una seconda "rivoluzione" nell'imaging TC del Monzino





